Mammasonographie (Brustultraschall / Brustsonographie) zur Früherkennung von Brustkrebs
Die Mammasonographie (Brustultraschall / Brustsonographie) ist eine wichtige diagnostische Methode zur Untersuchung der weiblichen Brust, insbesondere bei der Früherkennung von Brustkrebs, auch im Rahmen der Vorsorge. Es handelt sich um eine nicht-invasive Methode, die Ultraschallwellen verwendet, um detaillierte Bilder von Gewebe, Zysten, Tumoren und anderen Veränderungen in der Brust zu erzeugen.

Ablauf des Brustultraschalls
Im Gegensatz zur
Mammographie, die Röntgenstrahlen verwendet, gibt es bei der Mammasonographie keine Strahlenbelastung. Die Untersuchung ist schmerzfrei. Während der Untersuchung liegt die Patientin auf der Untersuchungsliege bequem auf dem Rücken und die untersuchende Ärztin trägt ein Gel auf die Brust auf. Anschließend wird ein Ultraschallkopf auf die Haut aufgesetzt und sendet Schallwellen in die Brust aus. Diese Schallwellen durchdringen das Gewebe und erzeugen auf einem Bildschirm ein Bild der Brust, das von der Ärztin interpretiert wird.

Indikation Brustsonographie
Die Brustsonographie ist besonders nützlich für Frauen mit dichtem Brustdrüsengewebe, das auf einer Mammographie schwer zu analysieren sein kann. Auch bei Frauen mit Brustimplantaten oder bei der Untersuchung von jüngeren Frauen kann der Brustultraschall eine wichtige Rolle spielen. Er kann auch zur Untersuchung von Brustveränderungen bei Männern eingesetzt werden.
Die Mammasonographie kann helfen, Brustkrebs in einem frühen Stadium zu erkennen und zu überwachen. Sie kann auch dazu beitragen, andere Zustände wie Zysten, Fibroadenome und Flüssigkeitsansammlungen zu diagnostizieren. In vielen Fällen kann eine Mammasonographie eine Mammographie ergänzen und die Genauigkeit der Diagnose verbessern.
Wenn eine Mammographie unklare Befunde liefert, kann ein Brust-Ultraschall weitere Informationen beisteuern. Insbesondere bei Frauen mit dichtem Brustdrüsengewebe kann eine Brustsonographie helfen, zusätzliche Veränderungen zu identifizieren, die auf einer Mammographie möglicherweise nicht oder nur schlecht sichtbar sind.

Mammasonographie ist kein Eratz für Mammographie
Es ist wichtig zu beachten, dass die Brustsonographie die Mammographie nicht ersetzt. Eine Mammographie ist weiterhin die empfohlene Methode zur Brustkrebsvorsorge bei Frauen über 50 Jahren oder bei Frauen mit einem erhöhten Risiko für Brustkrebs.
Die Mammasonographie kann als zusätzliche Untersuchung durchgeführt werden, um die Genauigkeit der Diagnose zu erhöhen. In einigen Fällen kann eine Biopsie erforderlich sein, um eine genaue Diagnose zu stellen.
Insgesamt ist die Brustsonographie eine wichtige Ergänzung zur Mammographie bei der Diagnose und Überwachung von Brustkrebs und anderen Erkrankungen der weiblichen Brust.
Typische Herdbefunde in der Mammasonographie
Brust-Zyste in der Mammasonographie
Eine Zyste in der Brust ist eine flüssigkeitsgefüllte Struktur, die sich in der Brustdrüse bildet. Zysten in der Brust können einzeln oder mehrfach auftreten, in einer oder beiden Brüsten. Sie sind meist gutartig und verursachen keine Beschwerden, können aber manchmal schmerzhaft sein oder zu Spannungsgefühlen führen. Die Ursache von Brust-Zysten ist nicht genau bekannt, aber sie stehen wahrscheinlich mit hormonellen Veränderungen in Zusammenhang.
Die Mammasonographie kann als Ultraschalluntersuchung der Brust meist Zysten von anderen Gewebearten unterscheiden. Zysten in der Brust erscheinen als dunkle, runde oder ovale Gebilde mit glatten Rändern und verstärktem Schall hinter der Zyste (sogenannte dorsale Schallverstärkung). Die Größe und Form von Mamma-Zysten kann variieren, je nachdem wie viel Flüssigkeit sie enthalten. Die Flüssigkeit kann klar, milchig oder blutig sein.

Die Behandlung von Brustzysten hängt von ihrer Größe, Anzahl und Symptomatik ab. Die meisten Zysten in der Brust bilden sich von selbst zurück oder bleiben unverändert. Andere können durch eine Punktion entleert werden, bei der eine dünne Nadel in die Zyste eingeführt wird und die Flüssigkeit abgesaugt wird. Dies kann sowohl diagnostisch als auch therapeutisch sein, da die Flüssigkeit auf Krebszellen untersucht werden kann und die Brustzyste schrumpft. In sehr seltenen Fällen kann eine Operation erforderlich sein, um die Zyste zu entfernen.
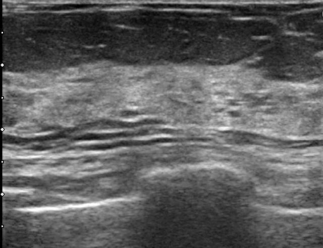
Fibroadenom im Brustultraschall
Ein Fibroadenom ist eine gutartige Geschwulst, die aus Drüsen- und Bindegewebe besteht und in der Brustdrüse vorkommt. Es ist die häufigste gutartige Brusttumorerkrankung bei Frauen im gebärfähigen Alter. Ein Fibroadenom in der Mammasonographie zeigt sich typischerweise als eine ovale oder runde, glatt begrenzte, homogene und echoarme Läsion. Die Läsion ist meist gut verschieblich. Die Mammasonographie kann helfen, ein Fibroadenom von anderen Brustveränderungen zu unterscheiden und die weitere Behandlung zu planen
Brustkrebs in der Mammasonographie
Die Mammasonographie kann verschiedene Zeichen des Mammakarzinoms (Brustkrebs) zeigen, die auf einen bösartigen Tumor hinweisen. Diese Zeichen sind:
- Eine unregelmäßige, spikulierte oder mikrolobulierte Läsion, die sich von der umgebenden Brustdrüse abhebt.
- Eine echoarme Läsion, die weniger Ultraschallwellen reflektiert als das normale Brustgewebe.
- Eine Läsion mit echoreichem Randsaum.
- Eine Läsion mit dorsaler Schallabschwächung.
- Eine Läsion, die höher als breit ist.
- Eine Läsion mit einem unregelmäßigen oder unscharfen Rand, der auf eine Infiltration des umgebenden Gewebes hinweist.
- Eine Läsion mit einer erhöhten vaskulären Durchblutung, die durch Doppler-Ultraschall dargestellt werden kann.
- Eine Läsion mit Mikroverkalkung, die manchmal als helle Punkte oder Linien im Ultraschallbild erkennbar sei können.
- Eine Läsion mit einer axillären Lymphknotenmetastase, die als vergrößerter oder veränderter Lymphknoten in der Achselhöhle erkannt wird.
Diese Zeichen sind jedoch nicht spezifisch für das Mammakarzinom und können manchmal auch bei gutartigen Läsionen wie Fibroadenomen, Zysten oder Mastitiden auftreten. Daher ist es wichtig, die Mammasonographie mit anderen diagnostischen Methoden wie der
Mammographie, der
Magnetresonanztomographie (Mamma-MRT) oder der
Biopsie zu kombinieren, um eine genaue Diagnose zu stellen.
Befundung der Mammasonographie analog BI-RADS
BI-RADS ist ein Klassifikationssystem für die Befundung von Brustveränderungen, die mit bildgebenden Verfahren wie Mammographie, Ultraschall oder Magnetresonanztomographie erfasst werden. Die Abkürzung steht für Breast Imaging Reporting and Data System und wurde vom American College of Radiology entwickelt, um die Kommunikation zwischen Ärzten zu verbessern und die Qualität der Diagnostik zu erhöhen.
Die BI-RADS-Kategorien reichen von 0 (unvollständige Untersuchung) bis 6 (histologisch gesicherter Malignombefund) und geben an, wie wahrscheinlich eine Brustveränderung bösartig ist. In Deutschland wird statt des BI-RADS der Begriff Befundkategorie verwendet.
Die BI-RADS-Kriterien / Befundkatergorie-Kriterien für die Mammasonographie berücksichtigen die Form, die Orientierung, den Rand, das Echogenitätsmuster, die Echogenität, die Verstärkung, die Schattenbildung, die Architektur und die Kalzifikationen der Läsionen. Je nach diesen Merkmalen werden die Läsionen in vier Gruppen eingeteilt: benigne (BI-RADS 2 / Befundkategorie 2), wahrscheinlich benigne (BI-RADS 3 / Befundkategorie 3), suspekt (BI-RADS 4 / Befundkategorie 4) oder hochgradig suspekt (BI-RADS 5 /Befundkategorie 5). Die BI-RADS-Klassifikation soll eine standardisierte und reproduzierbare Befundung ermöglichen und die Sensitivität und Spezifität der Mammasonographie erhöhen.
BIRADS 1 / Befundkategorie 1
BIRADS 2 / Befundkategorie 2
BIRADS 3 / Befundkategorie 3
BIRADS 4 / Befundkategorie 4
BIRADS 5 / Befundkategorie 5
