Schmerztherapie mit PRT und Facettengelenksinfiltration / Facettenblockade im CT
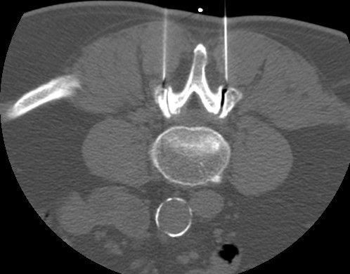
Die CT-gesteuerte periradikuläre Therapie (PRT)
und die Facettengelenksinfiltration (Facettenblockade)
sind zwei Verfahren, die erfolgreich bei der Behandlung von Rückenschmerzen eingesetzt werden. Beide Verfahren können mithilfe von bildgebenden Verfahren, wie der Computertomographie (CT), durchgeführt werden.
Periradikuläre Therapie (PRT)
Bei der PRT, der periradikulären Therapie, handelt es sich um eine spezielle Form der Schmerztherapie. Sie wird eingesetzt, um Schmerzen zu behandeln, die durch eine Reizung von Nervenwurzeln an der Wirbelsäule bedingt sind. Meist entstehen diese Reizungen (Radikulopathien) durch einen Bandscheibenvorfall oder durch einen Verschleiß der Bandscheiben und/oder der kleinen Zwischenwirbelgelenke.

Wir bieten die PRT in Darmstadt für die Lendenwirbelsäule (LWS) an. Dabei wird unter CT-Kontrolle eine Injektionskanüle bis an die austretende Nervenwurzel herangeführt, in der Nähe der Nervenwurzel platziert und es wird ein Medikamentengemisch aus Cortison und örtlichem Betäubungsmittel direkt an die Nervenwurzel gespritzt. Unser Ziel ist es, die an der Nervenwurzel bestehende Entzündungsreaktion und die dadurch entstandenen Schmerzen zu lindern.
Nach der Injektion kann häufiger vorübergehend ein Taubheitsgefühl oder eine Schwäche der von den behandelten Nerven versorgten Körperregion auftreten, die auch zu einer über einige Stunden anhaltenden Schwäche im Bein führen kann. Daher ist eine aktive Teilnahme am Straßenverkehr oder das Bedienen von Maschinen für einige Stunden nach der Untersuchung nicht zulässig.
Facettengelenksinfiltration / Facettenblockade
Bei der Facettengelenksinfiltration / Facettenblockade handelt es sich um eine weitere spezielle Form der Schmerztherapie. Dabei wird unter CT-Kontrolle eine Injektionskanüle bis an die kleinen Zwischenwirbelgelenke herangeführt und ein Medikamentengemisch aus Cortison und örtlichem Betäubungsmittel gespritzt.
Die Facettengelenksinfiltration wird häufig bei Arthrose und degenerativen Veränderungen der Wirbelsäule eingesetzt.
Bei schmerzenden Zwischenwirbelgelenken führt diese Behandlung in vielen Fällen zu einer Besserung der Beschwerdesymptomatik.

Kontraindikationen
Für beide Verfahren gibt es einige Kontraindikationen. Beispielsweise sollten Patienten, die an einer Infektion im Untersuchungsbereich oder einer Blutgerinnungsstörung leiden, nicht mit diesen Verfahren behandelt werden. Auch bei Patienten, die allergisch auf die eingesetzten Medikamente reagieren, sollten diese nicht durchgeführt werden.
Risiken
Es gibt auch einige potenzielle Risiken, die mit diesen Verfahren verbunden sind. Dazu gehören mögliche Komplikationen wie Infektionen, Blutungen oder Schäden an umliegenden Geweben und Organen. Bei uns werden diese Verfahren von erfahrenen Radiologen durchgeführt und es erfolgt vor der Behandlung eine ausführliche Aufklärung über mögliche Risiken und Komplikationen.
Multidisziplinäre Behandlung
Die CT-gesteuerte periradikuläre Therapie und die Facettengelenksinfiltration sind effektive Verfahren zur Behandlung von Schmerzen im Bereich der Wirbelsäule. Bei richtiger Indikation und Anwendung können sie Schmerzen lindern und die Lebensqualität der betroffenen Patienten verbessern.
Es ist jedoch wichtig zu betonen, dass diese Verfahren keine Heilung bieten, sondern lediglich eine eventuell nur temporäre Schmerzlinderung bewirken können. Eine Langzeitwirkung hängt von vielen Faktoren ab, wie beispielsweise der Art und Schwere der Erkrankung des Patienten und dem Ansprechen auf die eingesetzten Medikamente.
PRT und Facettengelenksinfiltration sollten daher in der Regel nur als Teil eines umfassenden Behandlungsplans eingesetzt werden, der auch andere Schmerztherapien und nicht-medikamentöse Behandlungen wie Physiotherapie und Verhaltensänderungen umfasst. Eine multidisziplinäre Behandlung kann dazu beitragen, die Schmerzen langfristig zu lindern und den Patienten dabei zu unterstützen, eine bessere Lebensqualität zu erreichen.
Kosten
Damit die Kosten der PRT und Facettengelenksinfiltration bei gesetzlich Versicherten von der Krankenkasse bezahlt werden, ist eine Überweisung von einem Arzt mit der Zusatzqualifikation "Schmerztherapie" erforderlich. Welche Ärzte über diese Qualifikation verfügen, erfahren Sie bei Ihrer Kassenärztlichen Vereinigung. Ohne eine solche Überweisung ist auch eine Abrechnung als individuelle Gesundheitsleistung (IGeL) möglich.
Bei Privatpatienten werden die Kosten in der Regel von der privaten Krankenversicherung übernommen.
